Vor jeder medizinischen Behandlung steht eine gründliche Diagnostik. Das gilt auch für die Kieferorthopädie. So wie der Hausarzt den Blutdruck misst oder Blut abnimmt, sind Röntgenaufnahmen des Kiefers essenziell, um eine präzise Diagnose zu stellen und das Wachstum der Kiefer zu beurteilen.
Was gehört zu einer kieferorthopädischen Diagnostik?
Bevor der Fachzahnarzt für Kieferorthopädie eine Diagnose stellen und eine Therapieempfehlung geben kann, beginnt er mit einer ausführlichen Anamnese und Untersuchung des Kiefers, der Zähne, des Schluckens und der Atmung sowie einer Funktionsdiagnostik der Kiefergelenke. Dabei wird geprüft, ob eine cranio-mandibuläre Dysfunktion (CMD) vorliegt. Zudem werden entweder intraorale Scans oder klassische Abdrücke und Fotos des Gesichts und der Zähne gemacht. Für eine Therapieplanung nach medizinischen Standards sind Röntgenaufnahmen ein wesentlicher Bestandteil der Diagnostik.
Standard in der Kieferorthopädie: Zwei Röntgenbilder
Die klassische kieferorthopädische Diagnostik besteht aus zwei Röntgenaufnahmen: einer Panoramaschichtaufnahme (Orthopantomogramm, PSA/OPG/OPTG) und einem Fernröntgenseitenbild (FRS).
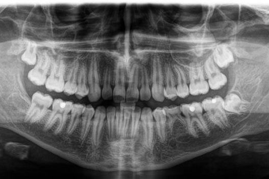
Panoramaschichtaufnahme
Auf der Panoramaschichtaufnahme beurteilt der Kieferorthopäde die Zähne und ihre Wurzeln, die Kiefergelenke, die Nasennebenhöhlen, die allgemeine Knochendichte und die Zahnstellung im Kiefer.

Bei Kindern und Jugendlichen überprüft der Fachzahnarzt, ob alle bleibenden Zähne, einschließlich der Weisheitszähne, angelegt sind und wie viel Platz für den Zahndurchbruch vorhanden ist. Dies hilft dem Kieferorthopäden, den optimalen Zeitpunkt für den Beginn einer kieferorthopädischen Behandlung zu bestimmen.
Das Übersichts-Röntgenbild gibt auch Hinweise auf mögliche Behandlungsschwierigkeiten, wie fehlende oder verlagerte Zähne. Insbesondere bei Folgebehandlungen ist es wichtig, Anzeichen für Wurzelresorptionen frühzeitig zu erkennen. Auch Füllungen, Kronen, Brücken, Implantate oder Karies können analysiert werden.
Verankerung der Zähne im Knochen
Es ist wichtig zu wissen, wie die Zähne im Knochen verankert sind, wenn sie durch eine kieferorthopädische Behandlung bewegt werden sollen. Zähne dürfen nur dahin bewegt werden, wo ausreichend Knochen und ein gesunder Zahnhalteapparat vorhanden sind, um langfristig stabil zu bleiben.
Hierfür greift der Kieferorthopäde auf das Fernröntgenseitenbild zurück. Diese zweidimensionale Aufnahme zeigt, wie die Kiefer zueinander positioniert sind und wie die Frontzähne im Knochen stehen. Dies ist entscheidend, um sicherzustellen, dass die Zähne innerhalb des sicheren Kieferknochens bewegt werden und keine Schäden entstehen.
Bei Kindern und Jugendlichen gibt das Fernröntgenseitenbild Aufschluss über die Wachstumsrichtung der Kiefer, was für die Planung des Therapiezeitpunkts und die Auswahl der Zahnspange entscheidend ist.

Fachzahnärzte für Kieferorthopädie sind besonders gut ausgestattet
Zahnärzte haben meist nur Röntgengeräte für Einzel- und Übersichtsaufnahmen in der Praxis. Kieferorthopäden hingegen verfügen über Röntgengeräte mit Panorama- und Fernröntgen-Funktion. Diese ermöglichen eine detaillierte Analyse und präzise Planung der Behandlung.
Weitere Röntgen-Untersuchungen
Einzelzahnaufnahmen oder Bissflügelaufnahmen zeigen Details einzelner Zähne und werden vor allem zur Kariesdiagnostik eingesetzt. Eine Handwurzel-Aufnahme bei Teenagern gibt Aufschluss über das verbleibende Kieferwachstum.
Digitale Volumentomographie (DVT)
Moderne kieferorthopädische Praxen nutzen zunehmend die digitale Volumentomographie (DVT) zur dreidimensionalen Darstellung der Zähne im Kieferknochen. Diese Methode bietet eine geringe Strahlenbelastung und ist ideal für die Lageanalyse verlagerter Zähne und die digitale Therapieplanung.
Strahlenexposition
Dank des digitalen Röntgens ist die Strahlenbelastung heute stark reduziert. Ein Vergleich zeigt, dass die Strahlenbelastung bei einer Fernröntgenseitenaufnahme nur einen Bruchteil der Belastung eines Langstreckenflugs beträgt.
Röntgen – Ein essentieller Baustein der kieferorthopädischen Diagnostik
Röntgenaufnahmen sind ein unverzichtbarer Bestandteil der kieferorthopädischen Diagnostik und Therapieplanung. Sie gewährleisten eine präzise Diagnose und eine effektive Behandlung, die höchsten medizinischen Standards entspricht.



